Understanding Types of Teeth Stains in Flowood, MS

Schedule Your Appointment

Get Started

Getting the Right Whitening Treatment for Your Stains

Before and after comparison of teeth whitening results, showcasing significant improvement in tooth color from yellowish to bright white, emphasizing effective cosmetic dentistry solutions.

Not all tooth discoloration is created equal. The type of staining you have determines which whitening approach will deliver the best results—and whether professional teeth whitening can help at all. At Tharp, Klaus, & Kelly Dental Clinic, we don’t offer one-size-fits-all solutions. Drs. Tharp, Klaus, and Kelly carefully evaluate your specific stain type during consultation, then recommend the most effective treatment for your situation. Understanding the difference between extrinsic, intrinsic, and age-related stains empowers you to make informed decisions about your smile.

Wondering which type of teeth stains you have? Call our Flowood dental office at 601-939-4100 to schedule your stain evaluation and discover your best whitening options. We welcome new patients from Jackson, Pearl, Brandon, and throughout central Mississippi.

Specialized Expertise in Complex Stain Cases

Dr. Greggory Tharp’s dual board certification in Prosthodontics and Oral Implantology, combined with Dr. Keith Klaus’s advanced training in cosmetic dentistry and Dr. Martin Kelly’s top-of-class education, means complex staining cases receive experienced attention. When intrinsic tetracycline staining or severe fluorosis requires advanced treatment planning, you’re working with specialists who understand the science behind different discoloration types and know exactly which approaches deliver results.

What Are the Different Types of Teeth Stains?

Teeth stains fall into three main categories based on their location and cause. Extrinsic stains develop on the tooth surface from external factors like coffee and tobacco. Intrinsic stains originate within the tooth structure itself, caused by medications, trauma, or genetics. Age-related stains combine both types, resulting from natural enamel thinning and years of pigment exposure. Each stain type requires different treatment approaches—what works beautifully for surface coffee stains may barely touch deep tetracycline discoloration.

Extrinsic Teeth Stains: Surface-Level Discoloration

Extrinsic stains are the most common type of tooth discoloration, affecting the outer enamel layer. These stains don’t penetrate deeply into the tooth structure, making them the easiest to treat successfully.

Common Causes of Extrinsic Staining:

  • Coffee, tea, and red wine consumption
  • Tobacco use (smoking or chewing)
  • Dark-colored foods like berries, tomato sauce, and soy sauce
  • Poor oral hygiene, allowing plaque and tartar buildup
  • Certain mouthwashes containing chlorhexidine

How Extrinsic Stains Develop

When you consume pigmented foods and beverages, chromogens—colored molecules—adhere to your tooth enamel’s surface. Over time and with repeated exposure, these molecules accumulate and create visible yellowing or browning. Tobacco products deposit tar and nicotine that quickly stain teeth. Without proper brushing and professional cleanings, these surface stains become more embedded and noticeable.

Treatment Options for Extrinsic Stains

Professional teeth cleaning often removes mild extrinsic staining by eliminating plaque and tartar buildup. For more stubborn surface stains, professional whitening treatments like KöR deliver dramatic results. The whitening gel breaks down stain molecules on the enamel surface, revealing the bright white tooth underneath. In-office whitening can remove years of coffee and tobacco staining in a single session, while at-home systems like KöR provide gradual but equally impressive results.

Most patients with primarily extrinsic staining see excellent whitening outcomes and maintain results easily with good oral hygiene and periodic touch-ups.

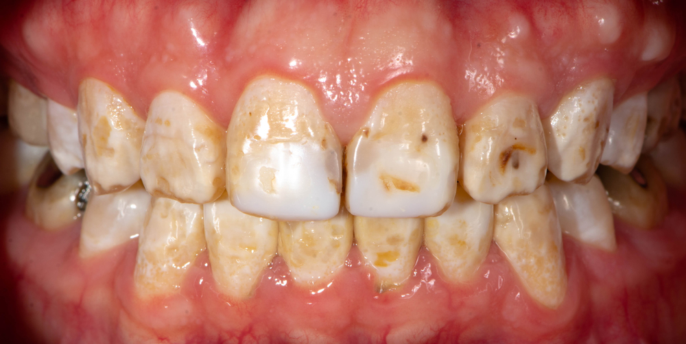
Close-up image of stained teeth showing visible extrinsic discoloration, with yellow and brown surface stains indicative of tobacco and pigmented food exposure, relevant to teeth whitening treatments.
Before and after comparison of teeth whitening results, showcasing yellowed teeth on the left and bright white teeth on the right, emphasizing the transformative effect of professional teeth whitening.

Intrinsic Teeth Stains: Deep Internal Discoloration

Intrinsic stains originate from within the tooth structure itself, making them significantly more challenging to treat than surface stains. These stains affect the dentin layer beneath your enamel.

Common Causes of Intrinsic Staining:

  • Tetracycline or doxycycline antibiotics taken during childhood
  • Excessive fluoride exposure during tooth development (fluorosis)
  • Trauma or injury to teeth that damages internal structures
  • Certain genetic conditions affecting enamel formation
  • Root canal treatments that cause internal darkening

How Intrinsic Stains Develop

Unlike surface stains that sit on enamel, intrinsic discoloration becomes incorporated into your tooth’s internal structure during development or following trauma. Tetracycline antibiotics, for example, bind to calcium in developing teeth, creating characteristic gray or brown banding. Fluorosis causes white or brown spots from excessive fluoride interferes with enamel formation. Dental trauma can damage blood vessels inside teeth, causing internal bleeding that darkens the tooth from within.

Treatment Options for Intrinsic Stains

Intrinsic stains require advanced whitening systems that penetrate deeply into the tooth structure. This is where KöR whitening truly shines—its deep bleaching technology is specifically designed to tackle intrinsic discoloration that other systems can’t touch. The refrigerated gel maintains maximum potency and penetrates beyond enamel into the dentin layer, breaking down deeply embedded stain molecules.

For severe intrinsic staining, particularly tetracycline cases, combining at-home KöR treatment with in-office power sessions delivers the best results. Treatment may take longer than for extrinsic stains, but dramatic improvement is often achievable even in difficult cases.

In situations where intrinsic staining is extremely severe or whitening proves insufficient, alternative treatments like porcelain veneers or dental bonding can mask discoloration effectively.

Age-Related Teeth Stains: A Combination of Both

Age-related staining represents a natural combination of extrinsic and intrinsic factors that accumulate over decades. Nearly everyone experiences some degree of age-related yellowing.

Why Teeth Yellow With Age:

  • Enamel naturally thins over time, revealing yellower dentin beneath
  • Teeth become more porous with age, absorbing pigments more easily
  • Years of exposure to staining substances create cumulative effects
  • Microscopic cracks in enamel trap stain molecules
  • Dentin naturally darkens as we age, even without external staining

How Age-Related Stains Develop

Throughout your life, your enamel gradually wears down from chewing, grinding, and acidic food exposure. As this protective white layer thins, the naturally yellow dentin underneath becomes more visible. Simultaneously, decades of coffee, tea, and food consumption create surface staining that compounds the yellowing effect. The result is teeth that look noticeably darker and more yellow than they did in youth.

Treatment Options for Age-Related Stains

Professional whitening treatments work exceptionally well on age-related staining. KöR’s deep bleaching approach addresses both the surface staining and the deeper discoloration that has accumulated over the years. Most patients see their teeth return to a brightness they haven’t experienced since their twenties or thirties.

The combination of at-home KöR treatment provides comprehensive results for age-related staining. Because this type of discoloration involves both extrinsic and intrinsic components, the deep-penetrating KöR system delivers superior outcomes compared to conventional whitening that only addresses surface stains.

For patients with extremely thin enamel or severe age-related changes, veneers may provide a more dramatic and permanent solution.

Will KöR Whitening Treatment Work for Your Stains?

The KöR whitening system effectively treats all three stain types, though treatment duration and approach vary based on severity:

Standard at-home KöR treatment for two weeks typically delivers excellent results. Most patients achieve their desired shade within this timeframe.

At-home KöR treatment combined with one or more in-office power sessions tackles deep discoloration. Treatment may extend beyond two weeks for severe cases, with dramatic improvement even on difficult tetracycline staining.

Standard at-home KöR treatment usually produces beautiful results, with optional in-office sessions accelerating the process for patients wanting faster transformation.

During your consultation at our Jackson-area dentist’s office, we’ll identify your specific stain type and customize your treatment plan accordingly.

Frequently Asked Questions

While you can’t prevent all staining, good oral hygiene significantly reduces discoloration. Brush twice daily, floss regularly, and visit our Flowood office for professional cleanings every six months. Limiting coffee, tea, red wine, and tobacco prevents most extrinsic staining. Using a straw for staining beverages and rinsing after consumption also helps. However, some intrinsic and age-related staining is inevitable regardless of prevention efforts.

Drugstore whitening strips and toothpastes only address mild extrinsic surface stains—and even then, results are modest and temporary. These products can’t penetrate deeply enough to treat intrinsic or age-related staining effectively. The low concentration of bleaching agents and poor fit of generic trays limit their effectiveness. For noticeable, lasting results on any stain type, professional whitening like KöR is necessary.

disease, untreated cavities, extremely sensitive teeth, or certain dental conditions may prevent treatment. Additionally, whitening only works on natural teeth—it won’t change the color of crowns, veneers, or fillings. During your consultation, Drs. Tharp, Klaus, and Kelly will evaluate your candidacy and recommend the best approach for your specific situation and stain type.

Smiling patient in dental chair wearing bib, highlighting the importance of dental care and regular checkups at Tharp, Klaus, & Kelly Dental Clinic.

Discover Your Stain Type and Solution Today

Understanding your specific type of tooth discoloration is the first step toward achieving the bright, confident smile you deserve. At Tharp, Klaus, & Kelly Dental Clinic, we combine advanced diagnostic technology with decades of cosmetic dentistry expertise to identify your stain type and recommend the most effective treatment approach. Whether you’re dealing with years of coffee staining, challenging tetracycline discoloration, or natural age-related yellowing, our Flowood dental team has the knowledge and tools to help.

Ready to tackle your teeth stains with the right treatment? Call 601-939-4100 to schedule your stain evaluation consultation. We welcome patients from Jackson, Pearl, Brandon, Florence, Canton, and throughout central Mississippi. Your brightest smile is waiting!

Say “Hello” to Your Personalized New Smile!

Schedule your appointment today.

I understand the information disclosed in this form may be subject to re-disclosure and may no longer be protected by HIPAA privacy regulations and the HITECH Act.

schedule appointment